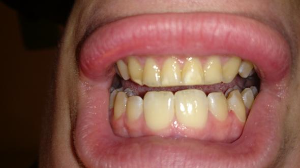
Barahona.- La fluorosis dental, una anomalía que es consecuencia de la ingestión crónica o excesiva de flúor, que puede generar complicaciones en otros órganos del cuerpo.
Carmen Hernández, encargada de la División de Salud Bucal del Ministerio de Salud Pública, explica que hay zonas de las provincias de Azua, Barahona, Peravia e Independencia donde, a lo largo de los últimos 35 años, sus pobladores han presentado fluorosis dental en diversos grados de severidad.
Investigadores han determinado que un exceso de flúor afecta la salud
de una buena parte de los pobladores de esas provincias y las razones
apuntan a que hay una relación con la cantidad de fluoruro que tiene el
agua que consumen.
En Barahona,se encontró entre 1984-1985 en la comunidad Las Salinas una prevalencia de 7 % de casos de fluorosis severa, 34 % moderada y 50 % leve.
Tomado del perfil en Facebook de David Barahonero
En Barahona,se encontró entre 1984-1985 en la comunidad Las Salinas una prevalencia de 7 % de casos de fluorosis severa, 34 % moderada y 50 % leve.
Tomado del perfil en Facebook de David Barahonero
